How Is a Hollywood Smile Performed?
Our dental professional will sit with you, understand your cosmetic goals, and the possible options of treatment. Probably the most common procedures that would lead up to a Hollywood Smile include:
Laminate Veneers: Veneers are thin porcelain or composite resin shells bonded to your teeth.
This helps the teeth in changing color, shape, and size. Veneers provide the Hollywood Smile with a natural finish that lasts forever in perfection.
What is done: Crowns are used to provide some strength and cosmetic appearance to such heavily damaged teeth or teeth with enormous fillings.
Orthodontic Treatment: Such misalignments can necessitate orthodontics before any other cosmetic procedures may be applied.
Gum Contouring: Shaping of gums may be conducted in case the gum area is irregular or exaggerated to create more balance in the smile.
Dental Travel Process
Get Your Healthy Smiles Directly With Dentica International. Moreover, Discover Istanbul While Doing It!
Explain Your Discomfort
Share your dental concerns and discomfort with our professional team. Whether it's a toothache, gum issues, or any other dental problem, we're here to listen and understand your needs. Our experts will evaluate your situation and recommend the best course of action.
Learn the Treatment Plan
After understanding your concerns, our dental specialists will develop a personalized treatment plan tailored to your specific needs. This plan will include detailed information about the procedures, expected outcomes, and estimated timelines. We ensure you are fully informed and comfortable with the proposed treatment.
Fly to Istanbul/Turkey
Once your treatment plan is finalized, it's time to plan your trip to Istanbul. Our team will assist you with travel arrangements, including visa information, accommodation recommendations, and itinerary planning. Enjoy a seamless travel experience as you prepare for your dental journey with us.
Let the Treatment Process Begin
Upon your arrival in Istanbul, our team will welcome you and guide you through each step of your dental treatment. We ensure a smooth and stress-free process, from initial consultations to the completion of your treatment. Enjoy the highest quality dental care while exploring the beautiful city of Istanbul.
Free Dental Analysis
1. Choose your gender
2. Choose your age
3. Choose your dream aesthetic tooth model
Aggressive
Dominant
Progressive
Focused
Functional
Hollywood
Tire
Naturally
Egg-shaped
Soft
Strong
Youth
4. Fill out the form for a free, no-obligation quote.
5. Fill out the form for a free, no-obligation quote.
Take Your Place in Health Tourism
Get Your Healthy Smiles Directly With Dentica International. Moreover, Discover Istanbul While Doing It!
Turkey’s major cities combine historical and cultural richness with modern dental clinics, creating an ideal environment for health tourism. Patients can comfortably undergo treatment while also exploring the country’s tourist attractions.
Dental tourism in Turkey is particularly favored for procedures such as cosmetic dentistry and implants, offered by specialized clinics equipped with state-of-the-art technology and experienced professionals.
Free Consultation Form
Popular Transactions
Dental Aesthetics in Turkey is very popular for foreign patients. Our clinic provides you with the support you need both in your travel planning and in your treatment process. The procedures frequently preferred by foreign patients for dental treatments are listed below.
Zirconium Crowns
We are glad to introduce our patients to the use of zirconium crowns in restoring the strength and beauty of your smile. The material used for the creation of zirconium crowns is highly resistant and perfectly biocompatible, rendering durability with the most appealing, natural appearance. That is why these crowns are ideal both for front and back teeth, providing long-lasting restoration that will improve your overall dental health.
Porcelain Laminate Veneers
At Dentica International, our team of experts really strives to offer amazing smile makeovers with cutting-edge craftsmanship in laminate veneers. Veneers are thin porcelain or composite laminates that are essentially used to cover the surface of the front face of the teeth. It is important that both the laminate is very light-permeable and the color of the enamel matches exactly, so that it becomes part and parcel with the other natural teeth.
All On Six / All On Four
All-on-Four is an advanced treatment for the dental implant where only four implants are placed to support an upper or lower set of teeth. In other words, only four implants support replacement teeth in each jaw. In other words, the four implants are installed in the best contact areas of the jaw bone to provide new teeth with good stability and strength.
About Us
Dentica International
Dentica International is a top-class dental institution in Istanbul which provides excellent dental care through combining the latest technology with over two decades experience.
Our clinic is well-known for its modern approach, which always has respect for patients’ rights and interests. This has been achieved by our competent workforce led by Dr. Enver Öztürk and Dr. Emine Güllük Öztürk, the founders of this practice. The staff have been in the industry for more than 20 years hence bringing vast experience and knowledge to every patient we serve. Our unswerving leading role in the dental sector demonstrates our commitment to excellence and continuous advancement.
Contact via WhatsApp
Reviews of Satisfied Patients
5 STAR AVERAGE - Real customers, real stories...
Après des entretiens très agréable et professionnel avec Irène qui m'a dirigé et surtout rassuré ne surtout pas hésiter à la contacter pour nous dirigé vers une équipe très compétant ont vient vous chercher à l'aéroport jusqu'à la clinique Et par la suite vous êtes accueilli avec beaucoup de compétences et de gentillesse toute l'équipe de dentca s'occupe de notre confort et le chirurgien dentiste très compétant Vraiment très ravi
Hallo! Ich wurde im Juli 2024 in der Zahnklinik „Dentica“ behandelt und bin von der Arbeit und den Ergebnissen begeistert! Es hat alles perfekt gepasst - der Service ist großartig gewesen und alle MitarbeiterInnen waren sehr bemüht und nett. An dieser Stelle möchte ich mich insbesondere bei Dr. Enver Öztürk und Dr. Kaan Kilavus bedanken, sowie auch bei meinem persönlichen medizinischen Berater Adam, der von Anfang an bis zum Ende dabei gewesen ist und mir die Kommunikation erleichtert und mich jederzeit unterstützt hat. Vielen lieben Dank nochmals und alles Gute,
Today was my last day of treatment and I want to say that they are the best clinic in Turkey. They are very organized, they always answered all my questions and the result was wonderful. I want to say thank you to the whole team and especially Doctor Umut, Alexey and Peter! Anyone who needs dental treatments can choose the international dental clinic, it will be your best choice.
La mejor clínica dental de Turquía chicos,son los mejores en todos os recomiendo a ir a Dentica Internacional en Istanbul sus servicios incomparable con cualquier otro
Today was my last day of treatment and I want to say that they are the best clinic in Turkey. They are very organized, they always answered all my questions and the result was wonderful. I want to say thank you to the whole team and especially Doctor Umut, Alexey and Peter! Anyone who needs dental treatments can choose the international dental clinic, it will be your best choice.
I would like to thank Dr. Sercan my consultant Sandra , Tabi , and the rest for the Staff the Best Staff from Turkey and Dentica im so Happy because I chose this clinic Dentica International!!! They're professionally trained and highly efficient. Thanks again for giving me such an excellent experience.
My experience was amazing with Dentica international we was picked up from the airport and taken to clinic for consultation all the staff where so very friendly straight away we was consulted in what we had to have done and then we was taken to our amazing hotel that was all sorted by Dentica transportation was always very prompt and the drivers where all very kind. I am very happy with my new teeth. A Massive thank you too Sandra for all the organisation and the contact she kept with us and to all the Dentica team you are Brilliant 😊🙌🏻
I traveled alone and was made to feel very comfortable nothing was too much trouble at the hotel that was arranged and for the dentist and the staff 11/10 I’ve been afraid of the uk dentists as I’ve never had an easy experience … I didn’t feel any pain and they was very gentle gave me plenty pain medication and the lady Sandra who helped planned my trip was an absolute star .. if your thinking about doing it these are the people Rachel 34 uk London
Every thing starting with PETER my coordinator, his are really crazy 👌amazing, his always answering all my questions, his make me feel confident and choice Dentica, I was talk for many different clinics, till I chose Dentica,because his give me all answers what make me feeling it’s right clinic for me. Every thing was great, I get healthy teeth and my dream smile, with Dentica. 20 zirconium crowns 2 implants and Bridge I have amazing translation HIBA 🥰 she really so lovely. Dr.CAMIL who did good and hurt job, to make me healthy and beautiful smile.❤️👌Thanks also to his assistance.
Free Consultation Form
Why You Should Choose
Dentica International for Your Hollywood Smile?
By fusing artistic vision and state-of-the-art dental technology, Dentica International can help you come up with a gorgeous, very natural-looking Hollywood Smile. With an experienced, caring team of dental professionals, every patient is treated with an individual approach, because we believe in providing our best. Let us take pride in the work that will help you get a smile of your dreams.
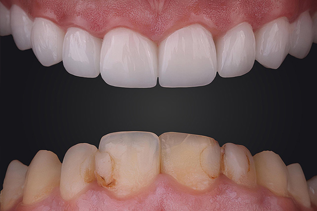
Hollywood Smile (Smile Makeover)
The Hollywood smile is one of the most popular procedures in cosmetic dentistry, designed to enhance a person’s smile to an ideal form using various treatments and techniques. This procedure is often associated with the flawless, white, and perfectly aligned teeth displayed by celebrities on the red carpet. The Hollywood smile aims to correct aesthetic issues in the teeth, providing a more youthful, healthy, and attractive appearance.
Below is an explanation of the most commonly used treatments within the scope of the Hollywood smile, along with their advantages and differences.
Zirconium Crowns
Zirconium crowns are among the most preferred methods in Hollywood smile applications. These crowns are made from a white material that mimics the natural appearance of teeth.
Advantages
- They have a natural, translucent structure, making the teeth appear real.
- Since zirconium contains no metal, there’s no risk of allergies.
- They are well tolerated by the gums and do not cause gum problems.
- They are durable and long-lasting.
Disadvantages
- They are more expensive compared to other crown types.
Laminate Veneers
Laminate veneers involve applying thin porcelain plates to the front surface of the teeth. This procedure is used to correct the color, shape, and size of teeth.
Advantages
- It requires minimal tooth reshaping, making it one of the least invasive options.
- Teeth appear brighter and whiter.
- A natural-looking result is achieved, similar to the original tooth structure.
- Veneers have color stability and do not yellow over time.
Disadvantages
- Porcelain can be brittle, so it’s important to avoid strong impacts.
- People with a habit of grinding their teeth may be at risk of veneer fractures.
Dental Implants
For people with missing teeth, dental implants are used as a permanent replacement. A titanium screw is placed in the jawbone to act as a root, with a prosthetic tooth placed on top. In Hollywood smile procedures, implants restore aesthetic harmony by replacing missing teeth.
Advantages
- It’s a permanent and aesthetic solution for tooth loss.
- Implants do not damage neighboring teeth.
- They are long-lasting and can be used for many years with proper care.
Disadvantages
- Since it’s a surgical procedure, the recovery process can be longer than other treatments.
- Implants can be costly.
All-on-4 Implant Technique
The All-on-4 implant technique is designed for patients who have lost most or all of their teeth in either the upper or lower jaw. This technique involves placing four dental implants strategically in the jawbone, with two angled implants at the back to maximize bone contact. A full arch prosthesis (set of teeth) is then secured onto these four implants, providing a complete set of fixed, non-removable teeth.
Advantages
- Fewer Implants: Only four implants are needed to support a full arch of teeth, reducing the complexity and cost of surgery.
- Immediate Results: Patients can receive temporary fixed teeth on the same day as the implant surgery, reducing treatment time.
- No Bone Grafting: In many cases, All-on-4 eliminates the need for bone grafting, even in patients with bone loss.
- Cost-Effective: Since fewer implants are required, this method is generally more affordable than placing individual implants for each missing tooth.
- Quick Recovery: Patients can return to normal activities faster compared to traditional implant procedures.
All-on-6 Implant Technique
Similar to the All-on-4, the All-on-6 technique is used for full mouth restorations but involves placing six implants rather than four. The additional implants provide extra support and stability, especially for patients with less bone density or more severe tooth loss. All-on-6 is preferred for patients who want a longer-lasting, more secure prosthesis.
Advantages
- Increased Stability: The use of six implants provides additional support, making it ideal for patients with higher bite pressure or less bone density.
- Even Distribution of Force: With more implants, the prosthetic teeth experience less wear and tear, ensuring a more durable solution.
- More Natural Feel: With additional implants, the prosthesis feels and functions more like natural teeth.
- Long-Term Durability: The added stability of the All-on-6 increases the longevity of the prosthesis, making it a more permanent solution.
Differences Between All-on-4 and All-on-6
- Number of Implants: All-on-4 uses four implants, while All-on-6 uses six, providing more support and stability.
- Bone Density Requirements: All-on-6 is more suitable for patients with low bone density or those who need more secure implant support.
- Cost: All-on-4 tends to be more affordable due to fewer implants, but All-on-6 offers greater stability for patients with specific needs.
- Treatment Duration: Both techniques allow for immediate placement of temporary teeth, but the healing and integration process can vary based on individual factors.